Arielka z całego serca dziękuje Wam za uratowanie jej życia💕🙏
14 marca 2026
Kochani, dziękuję. Dzięki Waszej pomocy udało nam się (nawet z górką) zebrać pieniądze potrzebne na leczenie Arielki.
Jak widzicie kotka nadal ma ogromny apetyt i chęć do życia i cały czas walczy. Najbliższe dni będą dla nas decydujące i pokażą jak przebiegnie jej leczenie i powrót do zdrowia.
Jestem Wam niezmiernie wdzięczna za całą Waszą pomoc i wszystkie wiadomości, w których pytaliście o stan Arielki. Obiecuję na bieżąco informować Was o postępach w leczeniu naszej bohaterki.
Ewa
12 marca 2026
Arielka umiera na naszych oczach, a ja nic nie mogę z tym zrobić. Nadal brakuje pieniędzy, a ja powoli zaczynam tracić nadzieję.
Kotka chce żyć. Nadal walczy. Wciąż próbuje jeść, jednak złamana szczęka jej na to nie pozwala.
Na tą chwilę kotka codziennie musi być karmiona dożylnie, żeby odzyskać siły do przeżycia narkozy. Każda z tych wizyt kosztuje, a środków nadal nie przybywa. Jeszcze nie wymyśliłam skąd wezmę na operację.
Błagam, pomóżmy Arielce. Kotka nie zasługuje na taki los. Nadal jest szansa, żeby ją uratować. Pokażmy jej, że ludzie to nie okrutne potwory, które potrafią tylko krzywdzić i porzucać. Ratujmy ją.
Ewa
Arielka była domowym, „ukochanym” kotkiem.
Teraz – porzucona, z połamaną szczęką i w stanie krytycznym – walczy o życie.
Arielka była piękna – biała, z niebieskimi oczami i miękką, długą sierścią. Mieszkała w domu, spała na kanapie. Każdy, kto przychodził w odwiedziny, zachwycał się ta piękną, puszystą, mruczącą kulką.
Nie wiem, co stało się potem. Czy zaczęła zostawiać za dużo sierści na kanapie? Czy ktoś w domu miał uczulenie na koty? Czy zachorowała i właścicielom nie chciało się jej leczyć? W każdym razie pewnego dnia śliczna, puszysta Arielka wylądowała na ulicy.
Ta bidulka chyba cały czas wierzyła, że wystarczy znaleźć drogę do domu. A wtedy wszystko będzie jak dawniej. Kilkakrotnie dostawałam informacje, że wchodzi do bloków, miauczy nocami na klatkach schodowych. Wiele razy próbowałam ją znaleźć, ale nigdy mi się nie udało. Dopiero wczoraj…
Arielka siedziała na chodniku pod blokiem. Sztywna, napuszona, z brudną matową sierścią. Kiwała się lekko, zupełnie jakby miała się zaraz przewrócić. Oczy, nos, pyszczek – wszystko posklejane gęstą ropą ze strużkami krwi. Dziwnie przekrzywiona szczęka. Dałam Arielce trochę mokrej karmy. Musiała być bardzo głodna, bo od razu rzuciła się na nią łapczywie i próbowała jeść. Ale… okazało się, że nie potrafi. Nie była w stanie ani gryźć, ani nawet utrzymać w pyszczku kawałka miękkiej karmy.
Zrozumiałam, że stan Arielki jest dużo gorszy, niż to oceniłam na początku. Postawiłam na ziemi otwarty transporter, żeby włożyć do niego tą biedną koteczkę. Ale kiedy Arielka go zobaczyła, od razu wstała i, chwiejąc się na łapkach, sama weszła do środka. I chyba przypomniały jej się czasy, kiedy była noszona w takim transporterku, bo zaczęła mruczeć! Może pomyślała, że zabieram ją do domu…
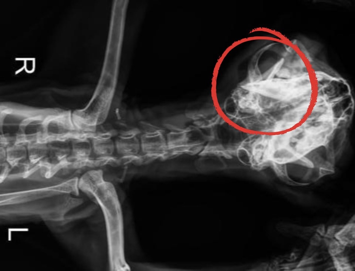
W klinice doktor od razu powiedziała, że poznaje Arielkę. Bywała tu na wizytach wcześniej, kiedy jeszcze była kochanym domowym kotkiem… Doktor była wstrząśnięta, kiedy zobaczył w jakim stanie jest Arielka. Podała jej od razu leki na wzmocnienie i przeciwbólowe oraz kroplówkę. Kiedy leki zaczęły działać, zrobiła jej RTG. A potem pokazała mi na zdjęciu miejsce, gdzie widać że szczęka kotki jest poważnie uszkodzona w wyniku jakiegoś mechanicznego urazu. Dlatego Arielka nie jest w stanie sama jeść ani nawet utrzymać jedzenia w pyszczku. Doktor mówi, że nie da się pomóc jej inaczej, niż przez operację. Trzeba pod narkozą przeprowadzić rekonstrukcję szczęki. Do czasu operacji koteczka musi być karmiona dożylnie.
W jaki sposób Arielka doznała takiego urazu?? Może ktoś ją kopnął, przeganiając z klatki schodowej? Przecież chodziła nocami po blokach i miauczała, mając nadzieję na odszukanie swojego domu, swojej rodziny… Serce mi pęka, kiedy o tym myślę. Niektórzy ludzie powinni mieć dożywotni zakaz posiadania zwierząt.
Arielka jest w tej chwili na intensywnej terapii w klinice. Ma gorączkę, słabe tętno i jest w stanie skrajnego wycieńczenia. Doktor mówi, że najbliższa doba pokaże, czy Arielka ma szansę przeżyć. Kiedy tylko uda się ustabilizować stan koteczki, trzeba będzie ją jak najszybciej operować.
Bardzo Was proszę o pomoc dla Arielki. Ona została zdradzona przez tych, których uważała za swoją rodzinę, swoich opiekunów. Spróbujmy jej to wynagrodzić. Jeśli Arielka przeżyje, obiecuję że zrobię wszystko, żeby znalazła prawdziwy, dobry, kochający dom.
